Реабилитация после перелома лучевой кости: что делать дома, чтобы быстрее восстановиться
Перелом лучевой кости может произойти рядом с запястьем, в средней части кости и возле локтя. Переломы у запястья встречаются чаще всего из-за опоры на руки при падении. В статье разберём, как устроена лучевая кость, когда нужен гипс, какие упражнения делать дома без риска для сращения и какие особенности восстановления после травмы у детей и пожилых пациентов.
Как устроена лучевая кость
В предплечье две кости: лучевая и локтевая. Лучевая проходит со стороны большого пальца, локтевая со стороны мизинца. Выше, в плече, кость называется плечевой. В области локтя эти три кости соединяются в один сустав. Связки помогают удерживать их рядом, чтобы при работе мышц они двигались согласованно, как единое целое.
Лучевая кость помогает предплечью и кисти двигаться. Она позволяет поворачивать ладонью вниз и вверх, совершать круговые движения в области запястья, сгибать и разгибать руку в локте.
Какие бывают переломы и кто чаще с ними сталкивается
Лучевая кость — наиболее часто ломающаяся кость руки, и особенно перелом её участка у запястья.
Перелом может быть закрытым или открытым, без смещения или со смещением, простым или оскольчатым. Если линия перелома затрагивает сустав, врач говорит о внутрисуставном переломе. Если сустав не затронут — о внесуставном. Если линия перелома проходит через всю кость, то это полный перелом. А если треснула и не сломалась, то неполный перелом. Иногда вместе с лучевой костью повреждается локтевая кость или связки.
Кроме того, врачи для классификации используют названия, которые определяют место перелома лучевой кости:
дистальный перелом — перелом нижнего отдела, рядом с запястьем;
перелом диафиза — перелом средней части кости;
проксимальный перелом — перелом верхнего отдела лучевой кости, ближе к локтю. К нему относятся повреждения шейки лучевой кости и головки лучевой кости.
С травмами лучевой кости чаще сталкиваются дети, активные молодые люди, женщины с остеопорозом и мужчины старше 80 лет. Перелом головки лучевой кости характерен для женщин 30-40 лет и детей 7-12 лет.
У детей
Травма лучевой кости особенно распространена среди детей и обычно связана с падениями, в том числе с велосипеда, самоката, скейта, во время занятий спортом, активных игр. Пик частоты приходится на 10–12 лет у девочек и 12–14 лет у мальчиков.
У детей кости очень гибкие, поэтому кроме проксимальных, диафизарных и дистальных переломов у них выделяют больше типов:
- по типу «зеленой ветки»;
одна сторона кости повреждается, а другая остаётся целой. То есть, кость трескается не полностью.
- торусный перелом;
лёгкий перелом, при котором кость как бы сминается при ударе. Полного перелома нет, но кость повреждена.
- переломы в зоне роста, или физарные переломы;
затрагивают участок кости, отвечающий за её рост.
- метафизарный перелом;
перелом в участке кости рядом с зоной роста, сама зона роста не повреждается.
Дистальный перелом лучевой кости считается самым частым типом перелома у детей, но довольно быстро заживает и редко с осложнениями. В целом, чем ближе перелом к кисти, тем прогноз лучше, чем при переломах, расположенных на руке выше.
У пожилых людей
Риск перелома лучевой кости возрастает из-за остеопороза — у женщин старше 50 лет и у мужчин старше 80 лет. Остеопороз у мужчин часто диагностируют позже, чем у женщин, поэтому перелом может стать первым явным признаком повышенной хрупкости костей.
Если кости хрупкие, для перелома бывает достаточно падения с высоты собственного роста — например, если человек поскользнулся и упал на руку. Иногда лучевая кость ломается и потому, что уже была ослаблена кистой, опухолью или нарушением костного обмена.
У людей с остеопорозом после перелома лучевой кости в течение следующего года повышается риск других переломов: у женщин риск переломов позвонков увеличивается в 5 раз, у мужчин — в 10 раз. У женщин старше 70 лет риск перелома бедра возрастает на 60%.
Поэтому важно не только лечить сам перелом, но и заниматься профилактикой новых травм: по возможности не выходить на улицу в неблагоприятную погоду, обезопасить себя от падений дома и на улице, при необходимости пользоваться опорой при ходьбе. Также врач может назначить бисфосфонаты для улучшения минерализации костей, если нет противопоказаний, а также препараты кальция и витамина D.
Как определить, что это перелом, а не ушиб
После перелома быстро появляются боль, отек, синяк, болезненность при прикосновении, слабость при захвате. Иногда запястье выглядит неестественно согнутым. Если пальцы немеют, становятся бледными или холодными, боль быстро усиливается, нужно обращаться за срочной помощью. Онемение пальцев после травмы запястья может говорить о повреждении нерва.
В целом дома невозможно надежно отличить перелом от сильного ушиба, подвывиха или вывиха. Небольшой перелом может выглядеть «не страшно», а вывих может давать резкую деформацию и сильную боль. Поэтому после падения лучше не проверять руку нагрузкой, а зафиксировать ее и обратиться к врачу. Диагноз обычно подтверждают рентгеном или КТ, если перелом сложный или проходит через сустав.
До осмотра нужно снять кольца и браслеты, так как кисть может отечь и потом снять украшение будет сложно.
Небезопасно пытаться самому «вправить» руку, греть место травмы, массировать отек или разрабатывать запястье до осмотра. Руку лучше зафиксировать в удобном положении, держать выше уровня сердца.
Можно приложить холод через ткань на 15–20 минут и принять обезболивающее — парацетамол или ибупрофен.
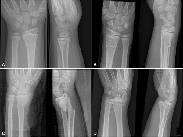
Всегда ли нужен гипс и когда прибегают к операции
Если перелом стабильный и кость стоит правильно, врач назначит гипс, полимерную повязку или съёмный ортез. Они нужны для того, чтобы удерживать кость в правильном положении до её сращения. Решение зависит от снимка, возраста пациента, типа перелома и качества кости.
У детей при стабильных торусных переломах не рекомендуется жёсткий гипс, так как он не даёт заметных преимуществ по сравнению с мягкой фиксацией, при этом менее удобный для пациента. Перелом полностью заживает за три недели. Повторный осмотр при торусном переломе обычно не нужен, если диагноз понятен, и родители получили инструкции. Такой подход сокращает поездки в медицинские учреждения, ненужные процедуры и стресс у ребёнка и родителей.
При других переломах лучевой кости у детей подход более осторожный. Например, для полных метафизарных переломов без выраженного смещения предусмотрен осмотр в течение первой недели и контроль сращения.
У взрослых людей рисков больше, чем у детей, поэтому чаще требуются повторные приёмы и вмешательства. Если перелом нестабильный и есть риск повторного смещения, через одну-две недели могут рекомендовать повторный рентген. Однако в лёгких случаях повторная рентгенография может и не потребоваться.
Если отломки смещены, врач может выполнить закрытую репозицию: сопоставить кость без разреза и затем зафиксировать руку.
Если перелом нестабильный, внутрисуставной, открытый, оскольчатый или положение кости нельзя удержать гипсом, может быть необходима операция. Для фиксации используют спицы, пластину с винтами или наружный фиксатор. Такая операция нередко нужна при переломе диафиза — средней части кости, особенно если кость повредила кожу. Операция не гарантирует сращения перелома, особенно, если пациент не соблюдает рекомендации врача и не выполняет упражнения.
Важно, что у пациентов старше 65 лет консервативное лечение считается основным методом лечения даже при переломе дистального отдела лучевой кости со смещением. Есть и данные, что 50% дистальных переломов после закрытой репозиции у пожилых пациентов срастается неправильно, поэтому каждый перелом у пациента необходимо оценивать индивидуально.
И хотя после фиксации кость на рентгене обычно выглядит ровнее, пожилым людям она не добавляет большей функциональности и не уменьшает болевой синдром. У пожилых людей объём движения и сила считаются более значимыми, чем показатели правильности сопоставления отломков и степень неправильного сращения.
При тяжёлых переломах с повреждением шейки лучевой кости и головки лучевой кости может потребоваться артропластика, при которой часть сустава заменяют имплантом.
Как вести себя в первые недели после перелома
Задача после любого перелома лучевой кости — уменьшить боль и отек, не нарушить фиксацию и сохранить движения. Обычно можно пользоваться рукой, выполняя простые бытовые задачи по мере переносимости. И хотя кости обладают высокой способностью к заживлению, после переломов лучевой кости обычно показана реабилитация.
У детей упражнения лучше встраивать в игру: собрать конструктор, лепить, рисовать, перекладывать лёгкие предметы, ловить мягкий мяч, если это разрешено. Такие занятия помогут ребёнку пользоваться рукой без страха — одеваться, писать рукой, готовить.
Не стоит поднимать травмированной рукой сумки, опираться на ладонь, отжиматься, переносить кастрюли, долго печатать на клавиатуре через боль. Гипс или ортез нельзя мочить или подкладывать под них предметы, чтобы почесать кожу. Если гипс давит, пальцы синеют или немеют, отек нарастает, боль становится сильнее, нужно связаться с врачом.
Дома могут пригодиться косынка, подушка для возвышенного положения руки, защита гипса от воды, а если наложили гипс, то съёмный ортез после его снятия.
Во время восстановления после травмы важно правильно питаться, получать достаточно белка, кальция и витамина D. Если есть диабет или остеопороз, нужно держать эти заболевания под контролем, чтобы не допустить осложнения. Также важно постараться не курить, так как курение связан с длительным сращением.
Какая нужна реабилитация после перелома
Восстановить объём движений, силу и функцию руки, а также уменьшить боль и предотвратить осложнения поможет реабилитация. Конкретная программа зависит от типа и тяжести перелома и от того, была ли проведена операция.
При дистальном переломе — рядом с запястьем
Иммобилизация должна быть такой, чтобы получалось сжать пальцы в кулак. Обычно пациентов выписывают с рекомендациями по приёму обезболивающих и упражнениями, которые нужно выполнять дома. К сожалению, многие из них сталкиваются со скованностью в запястье, которая обычно постепенно уходит в течение двух лет. Чтобы ускорить восстановление и вернуть чувство комфорта, врач может рекомендовать физиотерапию через несколько дней или недель после операции либо сразу после окончательного снятия гипса. Если же сохраняются боль, ограничение движений или замедленное восстановление функций руки, реабилитация со специалистами необходима.
В отличие от взрослых, дети, как правило, при этом типе перелома не нуждаются в физиотерапии.
При переломе диафиза — средней части кости
Упражнения с участием пальцев начинают уже с первых дней после травмы. Необходимо сгибать и разгибать пальцы, а также отдельно большой палец по 10-15 раз несколько раз в течение дня. Эти движения помогают уменьшить отек, поддерживать кровообращение и предотвратить тугоподвижность кисти. Даже если гипс в первое время ограничивает движения, важно регулярно шевелить пальцами в допустимом объёме.
По мере реабилитации особое внимание уделяют сохранению подвижности локтевого и лучезапястного суставов и восстановлению ротации предплечья — движений ладонью вверх и вниз. После периода иммобилизации упражнения обычно расширяют постепенно: сначала восстанавливают объем движений, затем добавляют укрепление мышц кисти, предплечья и плеча. Возвращение к активным нагрузкам и спорту должно быть постепенным и не быстрым.
При переломах диафиза лучевой кости возможно возможно появление чувства скованности. Также может быть сложно полностью поворачивать предплечье ладонью вверх и вниз. Одним из редких, но серьёзных осложнений является синостоз — патологическое сращение между лучевой и локтевой костью с образованием костной перемычки. Это может частично или полностью ограничить ротацию предплечья и заметно ухудшить функцию руки.
Осложнения возможны как при оперативном, так и при консервативном лечении у взрослых. Помимо скованности, может быть медленное восстановление функций руки, боль, несращение, вторичное смещение отломков, а после операции — проблемы, связанные с металлоконструкцией или заживлением мягких тканей. Поэтому в процессе восстановления важно, чтобы физический терапевт и лечащий врач следили не только за сроками сращения, но и за качеством движений, силой хвата и повседневной функцией руки.
В среднем кости предплечья полностью срастаются за 3-6 месяцев, однако сроки восстановления могут значительно различаться. Чем тяжелее травма, тем дольше продолжается реабилитация.
При переломе головки или шейки лучевой кости
Необходима ранняя мобилизация локтя: сгибание и разгибание, повороты предплечья. Их выполняют несколько раз в день, постепенно увеличивая амплитуду. По мере восстановления добавляют упражнения на укрепление мышц плеча и предплечья.
После операции, если перелом хорошо зафиксирован, тоже нужно разрабатывать руку уже в первые дни по схеме, которую определил хирург.
Возвращение к обычной активности, работе и спорту должно быть постепенным. Нагрузки на локоть, особенно контактный спорт и силовые упражнения, ограничивают до полного сращения кости и восстановления движений и силы. У большинства пациентов это занимает несколько месяцев.
Чем полезна клиника «Три сестры» при переломе лучевой кости
После неосложненного перелома лучевой кости многим людям достаточно рекомендаций травматолога и понятных упражнений. Однако бывают ситуации, когда для восстановления нужна реабилитация: кисть плохо сжимается, сохраняется чувство скованности, человек боится пользоваться рукой, боль мешает спать, а обычные дела по дому всё ещё требуют помощи.
При переломе лучевой кости реабилитация в стационаре обычно не требуется и достаточно домашней программы. Физический терапевт, эрготерапевт и медсестра могут приезжать к пациенту домой и всё необходимое привозить с собой. Это удобно, когда нужно не только показать упражнения, но и следить за осложнениями и адаптировать квартиру, чтобы справляться с бытовыми задачами самому.
В клинике ранней реабилитации «Три сестры» восстановление строят вокруг конкретных целей пациента. Не просто «увеличить объём движения», а снова умываться, одеваться, печатать, готовить, держать предметы обеими руками.
Трансфер на машине скорой
Мы советуем пациентам приезжать в клинику с медицинским трансфером. Так дорога не повлечет за собой осложнений. Мы можем организовать трансфер из Москвы: от вокзала, аэропорта или из дома до нашей клиники.
Приезжайте в гости
Вы можете приехать к нам в клинику на экскурсию. Мы покажем клинику и ответим на вопросы. Только сообщите нам о визите, пожалуйста, заранее
Задать вопросы о реабилитации
Мы перезвоним и расскажем о реабилитации всё, что важно в вашей ситуации.
Вы можете позвонить нам сами:
